黄斑変性 |
黄斑変性 macular degeneration
黄斑変性は,先天性 congenital・後天性 acquired・続発性 secondary と考える.
先天性は,多くが遺伝性で網膜視細胞あるいは網膜色素上皮が変性するものは代謝に欠陥すなわち網膜色素変性と同じスペクトラム上にある.時に黄斑形成異常を示すものがある.胎内感染ではトキソプラズマ感染が代表となる.
後天性は,通常は加齢変化と見做すものである.特に断りがない場合は,これである.
続発性は,先行する眼底疾患に続発,あるいは全身疾患に合併するもの,薬害等である.
主に50代以上で問題になる,老化に基づく黄斑異常の総称である.視細胞外節-網膜色素上皮層あるいは網膜色素上皮層-Bruch膜への代謝物の沈着・蓄積(extracellular deposit)により,血管新生や組織萎縮をきたす.
加齢変化と云えども基盤には遺伝的要因があり,環境要因の修飾によって発症する.

初期加齢黄斑症 early ageⲻrelated maculopathy は軟性ドルーゼンや網膜色素上皮異常を指す,視機能障害を伴わない段階(前駆病変)である.
❶ 網膜色素上皮細胞の変化:網膜色素上皮細胞 RPE は,加齢に伴って細胞質内に
リポフスチン顆粒 が増加しメラニン顆粒は減少する.加齢の基本変化(退行変性)である.消化能の低下した色素上皮細胞は,貪食した変性残渣物質を放出する.顆粒を放出すると色素上皮細胞自体は萎縮・崩壊する.視細胞外節も影響を受ける.
網膜色素上皮の異常には,色素脱失,色素沈着,色素ムラに加え小型(1乳頭径未満)の漿液性網膜色素上皮剝離が含まれる.色素脱失とは, 境界不鮮明で脈絡膜血管が透見できない程度のRPEの萎縮と定義されている.色素異常はBruch膜の慢性炎症と見做す.
☆マイクログリアは外節残渣を貪食する.マイクログリアの遊走は炎症状態を生じると指摘されている.
❷ ドルーゼン drusen:軟性ドルーゼンに蓄積したAGEsがマクロファージなど炎症細胞の遊走・浸潤を誘導し,慢性炎症が持続する.酸化環境ではマクロファージの老化を招き,老化したマクロファージの中にドルーゼンの主成分であるリポフスチンが蓄積し、網膜下ドルーゼノイド沈着の原因ともなる.
軟性ドルーゼンが1個以上みられれば前駆病変と診断される.
☆AGEs (advanced glycation end products):蛋白糖化最終産物.通常の加齢産物であるが,血管基底膜の肥厚や白血球粘着能の亢進,血液網膜関門の破壊などをきたす元.
☆reticular pseudodrusen:網膜下にドルーゼン様の多形性の debris が沈着したもの(subⲻretinal drusenoid debris)で,AMD,特にRAPの前段階として注目されている.
【 reticular pseudodrusen 】
☆cuticular(basal laminar)drusen:Bruch膜の肥厚した内側が結節様に突出したもので,CNVあるいは偽卵黄様剝離(pseudovitelliform macular detachment lesion)を合併しやすい.
【 basal laminar drusen 】
❸ 炎症:蓄積物内には補体成分が証明され,マクロファージが遊走することで慢性炎症状態となる.蓄積物の貪食・排除のための異物反応といわれる.これによりVEGF等が過剰に発現し透過性亢進のほか,脈絡膜血管内皮細胞・線維芽細胞・網膜色素上皮細胞の増殖・線維成分の産生を促がすことになる.即ち 血管新生である.
☆新生血管の発生が網膜外層から起きることがあり,『脈絡膜新生血管』との表現は用いず,macular neovascularization (MNV) との推奨がある.ただし一般には,血管内皮細胞の発芽はおもに脈絡膜の細静脈からである.
❹ 網膜色素上皮剝離(retinal pigmentepithelial detachment:PED):沈着脂質が多い軟性ドルーゼンが元になると解釈され,色素上皮基底膜と内膠原線維層のあいだで起こる.新生血管発生の基盤になるのは大型の剝離とされる.
❺ Bruch膜:軟性ドルーゼンとも関連し,一般に肥厚する.脈絡毛細管板のメンテナンスに当たるVEGFがBruch膜を通過しにくくなるため,脈絡毛細管板が萎縮し血管新生の下地になる.
❻ VEGF:血管内皮増殖因子(
血管新生因子
∕
サイトカイン)は色素上皮から脈絡膜へ放出されている.生理活性の範囲では,網膜・脈絡膜の維持に必要成分である.
☆黄斑部は,感光物質が激しく代謝され温度上昇も加わり,おそらく
酸化ストレス
によりVEGFの抑制が弱まる環境も想定されている.黄斑色素が減少すると,酸化ストレスを受けやすくなる.また喫煙は酸化ストレスを助長しているとされる.
❼ H因子:インヒビターとして補体経路を制御している. 補体系 制御(抑制)因子のH因子によく見られる単一ヌクレオチド多型(Y402H)は加齢黄斑変性と相関があり,補体経路の異常活性の環境に原因がある.補体経路の活性化は,炎症誘発因子・血管新生因子等の放出,組織損傷につながる.
➀ 滲出型 wet type または exudative type/新生血管型
通常,加齢黄斑変性といえば本症(狭義)のことで,脈絡膜新生血管(choroidal neovascularization;CNV)が本態である(新生血管黄斑症).
ドルーゼンや網膜色素上皮剝離に反応して脈絡膜毛細血管から発生した新生血管は,Bruch膜と網膜色素上皮を越えて感覚網膜に向かって拡大し,出血・浮腫を繰り返し,線維性増殖が進行する.経過中,大型の網膜色素上皮剝離や漿液性網膜剝離を伴う.増殖した血管結合織(肉芽組織)は最終的に線維成分が多くなり,瘢痕期病巣となる.

一般に,初期から強い変視症があり,進行するにつれ高度な中心暗点による視力障害をきたす.
➁ 萎縮型 dry type
脈絡膜血管が透見できる径250µm 以上の病巣で,網膜色素上皮・視細胞・脈絡膜毛細血管の萎縮性変化,ドルーゼンの成れの果てを含むBruch膜の肥厚・変性に伴う萎縮病態である.地図状萎縮 geographic atrophy と表現される.
萎縮の前段階として,多量のリポフスチン貯留が危険視されている.これによりFAFでは色素上皮の状態により,過蛍光~低蛍光の混在所見となり,進行予測などの情報として注目されている.
他に原因疾患が確認されるか,網膜色素上皮裂孔や萎縮からCNVを生じたものなどは除外となる.
③ 滲出型:萎縮型 = 3:1
滲出型加齢黄斑変性(狭義 Gass分類
ⓐ Ⅰ型:RPE下のCNV
ⓑ Ⅱ型:RPEを超えたCNV
蛍光造影所見では(参照:https://www.slideshare.net/MohamedELShaf3y/cnv-updates
ⓐ occult CNV:淡い(illⲻdefined)過蛍光
A:Early stages are poorly delineated with fluorescein.
B:Late stages are stained with irregular margins.
ⓑ classic CNV:旺盛な(wellⲻdefined)漏出
A:Early fluorescein angiogram its seen as well delineated vascular pattern.
B:Late stages it stained with indistinct margins.
特殊型(非定型

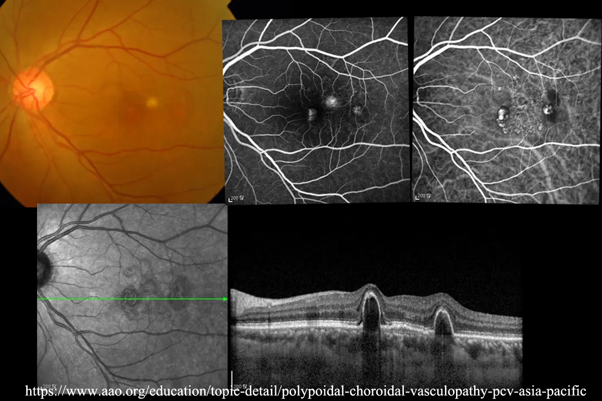
ⓐ PCV(polypoidal choroidal vasculopathy):脈絡膜内層に於いて,
異常血管網の終末部が拡張しpolypoidalポリープ状CNVを形成する.CNV(polyp)の主座は網膜色素上皮(RPE)裏面・Bruch膜内であることから,
OCTでは,新生血管網は double layer sign として,ポリープ状病巣は急峻な RPE隆起 として描出される.ポリープ部は透過性亢進が強く,網膜色素上皮剝離(PED)を高率に合併する.

病理組織によりポリープ本体は type I の変形・成熟した血管壁であることが証明されている.ドルーゼンを前駆病変としない本パターンはアジア人 ∕ 男性に多いことが分かり,特殊型とは言えなくなっている(アジア型).
前駆所見として,
肥厚脈絡膜
が指摘されている.萎縮した脈絡毛細管板における虚血が新生血管の誘発になるとされる.
※ double layer sign は,一般的に type I新生血管のOCT画像所見である.
※ 下方ぶどう腫や網膜色素線条に合併する脈絡膜新生血管にPCV型が多く,二次性PCVとも呼ばれている.
ⓑ RAP(retinal angiomatous proliferation):網膜内新生血管と脈絡膜血管の交通.AMD の type IIIと記載されることもある.OCTでは両者の交通部がRPEの断裂像として描出される.bump signである.
菲薄脈絡膜 との関連が指摘されている.
reticular pseudodrusen を伴うことが多い.
高齢女性に多く,しばしば両眼性である.
オリジナルは網膜から脈絡膜の方へ伸展する病態を説明している.
stage I は網膜内新生血管網の発生(intraretinal neovascularization) ,
stage II は網膜下への伸展(subretinal neovascularization) ,
stage III は脈絡膜新生血管(choroidal neovascularization)が発生し,網膜-脈絡膜の吻合となる.しかし,網膜内新生血管と脈絡膜新生血管の発生順は研究者の間で決着がない ? ようでもある.
新生血管部の網膜は脈絡膜のほうへ食い込むような形態を示す(通常の AMD では網膜を持ち上げるように進行する点で対照的)との説明もある.
病型・治療方針・予後等に関連して,滲出型ではサブタイプ(亜型)としての考え方が推奨されている(日眼ガイドライン,2012).
➊ 典型滲出型加齢黄斑変性
➋ ポリープ状脈絡膜血管症(PCV
➌ 網膜内血管腫状増殖(RAP
脈絡膜新生血管発生の基盤として端的には, ※
本邦でのいわゆる広義滲出型加齢黄斑変性においては,ドルーゼンが少ないことが統計学的に明らかになっている.同時に肥厚脈絡膜の合併が多くなっている.
※MNV:macular neovascularization.網膜由来の新生血管もあるということで,脈絡膜ではなく黄斑新生血管と言おう,だとさ. ※新生血管があっても滲出性変化がない状態の AMD を含めて,新生血管型(neovascular)AMDということが推奨されている.
※「黄斑萎縮」は MNV の有無にかかわらず,境界明瞭な萎縮病巣に対して使用できる用語とされている.地図状萎縮や黄斑萎縮は、新生血管型 AMD の末期にみられる線維性瘢痕や嚢胞様黄斑変性に伴う網膜外層の萎縮性変化とは区別される.
ドルーゼンを基に進行するのが典型滲出型加齢黄斑変性,肥厚脈絡膜を基に進行するのがポリープ状脈絡膜血管症,菲薄脈絡膜を基に進行するのが網膜内血管腫状増殖,という位置づけである.
【 各サブタイプ症例 】
*type 1 MNV:RPE下にあるNV.PCVを含み,多様なPEDをきたす.
*type 2 MNV:RPEを超え網膜下に伸展したもの.
*type 3 MNV:網膜血管(深部血管網)から発芽し網膜外層へ向かうNV.脈絡膜循環と異常吻合をきたす.
老人性円板状黄斑変性(症 SDMD:senile disciform macular degeneration (Kuhnt᠆Junius)
かつて(1960年代後半!)英語病名が紹介された当初は,網膜下ないし脈絡膜上層を原発病巣とする遺伝的先天的な素因を有する病態を中心に考えられてきた.その後,新生血管周囲に網膜色素上皮細胞・線維芽細胞・膠原線維の増殖をきたした線維血管膜の形状を “円板(円盤)状 disciform”とし “老人性円板状黄斑変性症”と表現した.
しかし内容的にはかなり進行した,もしくはほとんど完成された瘢痕病態を意味するために,一方では “老人性”という表記を避ける傾向もあり,現在ではほとんど使わない.
最終的には細胞成分は減少し,膠原線維性結合組織による瘢痕化をきたす. 【 写真で確認 】
多因子疾患=複数の遺伝子因子+複数の環境因子に因る.
①加齢;
65歳以上で加速される.喫煙・加齢により黄斑色素【キサントフィル:ルテインやゼアキサンチン】が減少し,光ストレスからの色素上皮保護が弱くなる.リポフスチン沈着【光ストレス下で⤴】や脂質沈着【加齢で⤴】は炎症反応(マクロファージ誘導,サイトカイン分泌)を惹起し,そのプロセスで新生血管を生じる.
酸化ストレスや慢性炎症は動脈硬化と共通の病理である.
近年では,青色光暴露(たとえばLED:液晶画面,スマホ)で誘導される酸化リン脂質が注目されている.
②遺伝;感受性遺伝子として,
ARMS2(age-related maculopathy susceptibility 2)/HTRA1, CFH(complement factor H). CFB(complement factor B), CF1(complement factor 1), RDBP(repressor domain RNA binding protein), SKIV2L(superkiller viralicidic activity 2-like), C3(complement component 3), C2(complement component 2), ABCR,CD36などの遺伝子多型が報告されている.
人種:日本人ではARMS2,白人ではCFH の関連が深い.C2-CFB-RDBP-SKIV2LはPCVに関連する.軟性ドルーゼンは欧米人についての危険因子となるが,アジア人には当てはまらない.一般に白人は発症しやすい.保護色素が少ない ?
家族歴:血縁者に発症があると,リスクがあがる.白人系では,ドルーゼンは常染色体優性との報告(1973)がある.
性別:白人では女性が多く.日本人では男性に多い(女性の2〜10倍・・時代と研究者により差がある).
③環境または生活習慣;活性酸素の環境が強調されている.
喫煙:3〜5倍リスクが高く用量依存性である.酸化ストレスを助長していると考えられる.久山町スタディでの有意なリスクファクターは,男性・喫煙であった(2018).
血圧:2〜3倍リスクが高い.特に収縮期血圧⤴拡張期血圧⤵は血管壁のコラーゲン・エラスチンが変性し弾性(伸展性)が低下すること(硬化性変化)を反映し,Bruch膜の加齢変化と共通の病理である.平行する脈絡膜循環の減少も想定されている.
脂質:光暴露による脂質沈着に対する排除反応が,血中脂質の影響を受ける可能性がある.
血清亜鉛:低下
肥満:関連があるといわれる.
日光:青色光〜紫外線暴露はリポフスチン増加を促す.青色光を吸収したリポフスチンは活性酸素を発生し,細胞傷害性に作用する.生成される酸化リン脂質は加齢黄斑変性の危険因子となる.
なお,紫外線がリスクファクターとなるのは電気性眼炎や翼状片などの眼表層疾患であるとして,環境省やら厚生労働省では紫外線による眼底疾患の記述はない.水晶体で吸収される前提なのかも.そんな訳でブルーライトのほうが睨まれている(青色光障害 blue light hazard).しかし日常接するデジタル端末では危険性はない,ともいわれている(ただし,概日周期 や眼表面への問題は残る).ブルーライトカットに引きずられバイオレットライトもカットしてしまうと,近視化を促進するという説明も浮上する.
★大気汚染:NO₂やCOを中心とする自動車排ガスによるリスク上昇は無視できない (Trafficⲻrelated air pollutants increase the risk for ageⲻrelated macular degeneration,2019)そうである.
年齢50歳以上の症例において,中心窩を中心とする直径6,000µm 以内の領域に以下の病変がみられる.
1.前駆病変
軟性ドルーゼン,網膜色素上皮異常
2.滲出型加齢黄斑変性
主要所見:以下の主要所見の少なくともひとつを満たすものを確診例とする.
①脈絡膜新生血管
②漿液性網膜色素上皮剥離
③出血性網膜色素上皮剥離
④線維性瘢痕
随伴所見:以下の所見を伴うことが多い.
①滲出性変化:網膜下灰白色斑(網膜下フィブリン),硬性白斑,網膜浮腫,漿液性網膜剝離
②網膜または網膜下出血
3.萎縮型加齢黄斑変性
脈絡膜血管が透見できる網膜色素上皮の境界鮮明な地図状萎縮(geographic atrophy;特に進行した段階)を伴う.
4.除外規定
近視,炎症性疾患,変性疾患,外傷などによる病変を除外する.
滲出型加齢黄斑変性は基本的に進行性であることが,治療のスタンスにならざるを得ない.進行を遅らせることで治療が成り立つが,個々の患者さんに証明は不可能であり多数例のエビデンスを基に説明することになる.視力障害が出血・浮腫の波及に因る部分であれば,ある程度の機能回復が見込める.しかし線維膜は消えない.線維血管膜によって侵食された網膜を復活させる手段はない.
新生血管の抑制,すなわち新生血管誘発因子作用をコントロールする薬物や,脈絡膜厚の減少についての治療が期待される.
黄斑色素や抗酸化成分の補充も期待され,予防の価値があるとみられている.
地図状萎縮 https://www.ophed.com/system/files/2018/03/ 【 萎縮型加齢変性 】
神経細胞や脈絡毛細血管板の萎縮を基調とすることで,有効な手段はない.
①網膜血管病変により網膜浮腫が持続し,網膜色素上皮,網膜内層,あるいは硝子体を含め変性にいたるもの.
囊胞変性(網膜静脈閉塞・糖尿病網膜症に合併,ぶどう膜炎でも併発する.・・・・・ 網膜血管の透過性亢進に因る.
糖尿病黄斑症 ・・・・・ 色素上皮変性が主となるものと,網膜囊胞変性が主となるものがある.
②薬剤の長期投与により黄斑部の網膜色素上皮が選択的に障害されるもの.
クロロキン網膜症が代表.
薬物中毒
③視細胞障害
ジゴキシン(ジギタリス製剤,
④続発性網膜色素変性
いわゆる “ごま塩眼底”.
色素変性
⑤
黄斑部・中心窩下の脈絡膜新生血管発生が本態で,網膜下に進入・拡大した新生血管が出血・浮腫を起こす.最終的に線維性瘢痕となる.
①加齢黄斑変性:上記(滲出型
②強度近視:上記(近視性黄斑症
③中心性滲出性網脈絡膜症(いわゆる Rieger型;特発性脈絡膜新生血管):別記
④その他:
網膜色素線条,
傾斜乳頭症候群,眼ヒストプラズマ症,ぶどう膜炎に伴うもの,外傷,など.
⑤血管新生 について
読み方
Stargardt ⇒ すたーがると,しゅたるがると
Rieger ⇒ りーがー
新生血管黄斑症では新生血管の根絶,でなければ透過性亢進の減弱をねらう.治療による視力改善の可能性は20%,ほぼ現状維持が60%,進行が20%ほどである.
◆レーザー凝固
新生血管あるいはその流入血管を直接的に,または光感受性を増幅させる薬剤を併用してある範囲をレーザー凝固するが,成績は一定していない.
◆抗VEGF治療
滲出型AMD 発症には血管内皮増殖因子(VEGF)の関わりが解明されつつあり,それにより抗VEGF薬の硝子体内注入治療が試みられている.作用範囲が広いラニビズマブ(商品名ルセンティス®)が第一選択となるが,心や脳の血管障害のある患者ではAMDにより強く関与する特定のアイソフォームに特異的に作用するペガプタニブ(商品名マクジェン®)が選択される.いずれにしても効果はあるものの反復投与の維持療法がネック.
類似薬にベバシズマブ(商品名アバスチン®)があるが,一応適応外治療としてのコンセンサスはある(何と言っても安い).ベバシズマブ本来の治療時には心臓発作や脳卒中をもたらす血栓リスクの増大を伴うが,最近の研究(2010年10月号)では「AMDに対してラニビズマブまたはベバシズマブの硝子体内注射を受けたメディケア受給者で,死亡や心筋梗塞,出血,脳卒中のリスク増大のエビデンス(科学的根拠)は認められなかった」とのことである.
◆iPS細胞
移植治療の可能性がある.iPS細胞[ induced pluripotent stem cells:人工多能性幹細胞 ]
◆失明 blindness
視力喪失は,日常生活・社会生活・学校教育などに大きな制限を受けることはいうまでもない.その程度によって失明という意味が,全盲あるいはそれに準ずる状態=医学的な意味合いであったり,失職=社会的な意味合いであったりする.
眼底疾患はほとんど全てが,ある程度以上に中心視力の損失をもたらす.現在,失明原因となっている疾患には,緑内障,糖尿病網膜症,網膜色素変性があるが,これらは最終的に視野を失い全盲となりうる疾患である.続くのは加齢黄斑変性であるが,この疾患は中心視力の喪失を招くものの,僅かな例外を除けば周辺視野は保存され得るものである.この点で医学的失明にはあたらないが,仕事を続ける点で大きなハンディとなりうる.社会的な失明と言えるような疾患である.
◆最終的には, 視覚障害への対応 が求められる.
2025