| OCTによる眼底の観察 | 
OCTは „optical coherence tomography“ の頭文字で,光干渉断層計《ひかりかんしょうだんそうけい》という.OCT画像は,光を照射して得られたエコー情報を再構成して断層像を表示するもので,生体眼で非接触・非侵襲的に検査ができる.画像はグレースケール BW ないし疑似カラー 
   かくして,外来の場で „検眼鏡所見に対応した組織像“ を手にすることができることから,眼底病理に対する知見・解釈が大きく展開することになったのである.
   OCTの応用は眼科以外の分野にも及び,眼科でも前眼部の観察が可能であるが,ここでは眼底の観察について触れる.
|  |  | 
OCTは,
一種のエコー断層装置といえる.
     眼科などでエコーといえば „超音波“ があるが,OCTでは近赤外線(850nm など)による低干渉性光源を用いる.
A モード:amplitude or axial(振幅 あるいは 軸上
     B モード:brightness(輝度 あるいは 断層
     C モード:coronal section(冠状断 あるいは 前額断
一つの周波数走査で得られる反射率の奥行距離依存信号は,A走査と呼ばれる.照射箇所を横に次々と移動して取得した A走査信号を集め,横方向の距離と奥行方向の深さに対する反射率の強弱を,濃淡やカラー化して画像化したものが二次元の断層像で,B走査と呼ばれる.連続した B走査信号を重ねた三次元像から再構築した眼底としての二次元の正面像が,C走査( en face )画像である.
エコー断層では,
反射波(散乱光)の時間差と強度を測定し,画像を構築している.眼球後方の情報を描出するためには低周波に依り,高周波にすると眼球前半の描出に留まるなど,解像度と浸透深度は二律背反にある.
     前眼部の形態解析に普及している超音波生体顕微鏡(ultrasound biomicroscopy)では0.05mmほどの解像とのことである.超音波周波数50MHzとして,50マイクロ秒の周期で振動する.マイクロ秒(µs)とは,
     可視光近辺の波は,およそ1フェムト秒の周期で振動する.フェムト秒(fs)とは,10-15秒を表わしている.水に吸収される波長領域のため,水組織である眼球の深部にある脈絡膜については難点となっていたが,OCTでは信号源に近赤外光を用いることで深達性と高解像度が実現した.
   
「干渉 interference 」とは,
2つ以上の同じ種類の「波」が同じ場所で出会った場合に波同士が相互作用をおこし,強めあったり弱めあったり,いわゆる「うねり」が生じる.この現象が電波・光・音・さざ波など,「波」の性質としての「干渉」である.通常は波長や位相がバラバラであることから「うねり」は生じず,干渉性はないことになる.レーザー光は波長が揃っていることで高干渉性を示す.高干渉性は「うねり」が多すぎ,眼科では使い物にならないそうである.
干渉計の原理として „MichelsonⲻMorleyの実験“ に基づく説明がされている.
|  |  | 
実験の究極は相対性理論に行き着くとのことであるが,
OCTの光源(信号源)は,
低干渉性近赤外ビームを発するSLD(super luminescent diode)光源を用いる.TD式某機種は820nm±15nm,SD式某機種は840nm±45nmの帯域とのことである.
     被検者にはまぶしさを感じないこと,中間透光体混濁の影響を受けにくいこと,さらに光伝送機器の部品が豊富にある帯域なんだそうである.
眼内に入射された測定光は,眼底組織の各々の部位で反射し帰ってくる.
|  |  | 
反射信号強度を A-mode になぞらえると,左図のようである.一定の長さを連続スキャンし,基準光と反射光との演算により,時間差(空間的位置関係)と反射信号強度による二次元の断層画像を構成する.
     
通常は疑似カラー表示が判りやすいと思われるが,ディテールで勝るグレースケール表示を好む研究者も少なくない.
      
     
カラーでは,低反射は寒色系で高反射は暖色系で表示される.深さに応じて減衰量の補整をかけているそうである.
     なお,
観察光の入射方向に対して戻ってくる反射光が後方散乱,横に散らばるのが側方散乱,進行方向への反射が前方散乱である.
OCTでは 後方散乱 が重要である.
     
信号は,
①吸収:色素(メラニン,ヘモグロビン,・・ かつ,高反射を示すのが出血や硬性白斑,など
     ②散乱:構成が異なる組織の境界で発生.硝子体皮質(あるいは後部硝子体膜)や網膜上膜,細胞膜など
     ③反射(あるいは後方散乱):進行と逆方向(つまり戻ってくる信号
     ④光学的透明腔:液体の貯留空間(網膜内浮腫や滲出液).高比重あるいは血液が混じると反射信号が出る.
などが情報となる.
スキャンモードは,
直線,十字,円とそれらのバリエーションとなる.
網膜厚や視神経乳頭陥凹深度計測ができるが,尚改良の余地がある.
性能の進化は,
| タイムドメイン | スペクトラルドメイン | 
|  |  | 
 
❶ OCTの断層画像の構成では,時間領域法(time domain OCT;TD-OCT)と周波数領域法(Fourier domain OCT;FD-OCT)の2種類がある.
❷ time domain OCT:
     光源からのビームはビームスプリッタにより基準光と観察光の2本のビームに分割される.反射して戻ってきた参照光と反射光は重ね合わせの原理により干渉し合い検出器に至る.参照光と反射光との光路長(反射位置)の情報は1回のスキャンで網膜の1点の情報になるので,光軸方向のミラーの移動(走査;A-scan)と光軸に対する垂直(横)方向の走査B-scanの基本的な2つの走査により断層像を得る.
     TD-OCTは,従来型の点計測型OCTのほか,二次元光学系と二次元カメラを用いるフルフィールドOCT(full field OCT;FF OCT)が報告されている.
❸ Fourier domain OCT:
     光信号をフーリエ変換して反射光強度(深さ情報)を得るFD-OCTは,組織のなかのどの深さでどの程度光を散乱する組織構造が存在するかを,その部位から散乱された散乱光を検出することで画像化する.光学系に稼働部を持たないため,TD-OCTより高速である.
     スペクトラルドメインOCT(spectral domain OCT;SD-OCT)は,広帯域低コヒーレンス光源と,回折格子で周波数成分に分割(分光)しCCDで干渉信号を測定する検出器を用いる.
     波長掃引型OCT(swept source OCT;SS-OCT)は,光源の段階で周波数成分に分割(分光)し発振周波数を高速に掃引する波長走査光源と,干渉信号を検出する光検出器を用いる.
❹ 強弱信号の構成が時間領域測定から周波数領域測定へ変わったことで,測定時間・解像度など大きく進化した.初期モデルで網膜色素上皮+脈絡毛細血管板とされた網膜外層の高反射層は,A-scanの垂直解像度が上がるにつれ視細胞+網膜色素上皮部と認識され,まず内節外節結合部(IS-OS line)が分離して描出された.さらにSD-OCTでは,外境界膜を含め四層の中~高反射層が確認されている.
   
網膜の構造は,
感覚網膜の基本構築として9層 ということであるが,部位により特徴がある.端的に観察できるのが黄斑を通る水平断と思われる.
    すなわち,
⒜ 黄斑・中心窩:
網膜外層(神経上皮層)のみということで内顆粒層より内側の成分はない.例えば,右図の組織図は神経節細胞層まで入っており中心小窩から少しずれた部分のセクションとわかる.
⒝ 乳頭黄斑間:
神経線維は乳頭へ集合する.黄斑から離れるにつれ神経線維層が厚くなるわけである.
⒞ 縫線部:
耳側縫線部は神経線維は最薄となる.ほとんど描出されない.
⒟ これらにより,例えば右図や下図では左方向に乳頭があるはずであることがわかる.
⒠ 右図:A;脈絡膜,F;中心窩,S;強膜
黄斑部,特に中心窩は視細胞のみ(神経上皮層),ということで,構成要素を網膜10層 でいうと内境界膜,外網状層,外顆粒層,外境界膜,視細胞層,網膜色素上皮層である.
      
      
    
網膜とOCT画像との対応
⑴.眼底構造物では,
            神経線維層・各網状層で中反射〜高反射,
            神経節細胞層・各顆粒層で低反射(攪乱 ??,
            外境界膜より深部では低反射〜高反射層が観察される.
            脈絡膜は,単なる模様に描出されるようで,詳細不明.
⑵.網膜内層は,
 ➀神経線維層 (RNFL) は視神経乳頭に近い程厚くなることで,水平スライスでは非対称になっている.それ以外の網膜各層は基本的に対称としてよい.
 ➁神経節細胞層 (GCL) はRNFL部とは明瞭に区別できるが,内網状層 (IPL) とは輝度差が少なく境界はあまり明瞭ではない.これによりコンピュータによる層厚計算では,RNFL+GCL+IPLを神経節細胞体複合体として処理している.
 ➂外網状層 (OPL) 部は,中心窩周りでの描出で左(縫線)側のほうが厚い.網膜像が微妙に傾斜していることで写ってくるらしい(後述).
 
           ⑶.網膜外層,すなわち視細胞-網膜色素上皮部は,外境界膜を含め四層の中〜高反射層が認識されている.
 
           ⑷.右OCT図で,外層は,
           ⓐ中反射:外顆粒層下部の反射線は外境界膜(ELM)と見做される.ただしMüller細胞は頂部細突起(微絨毛)が外境界膜を超えて視細胞間隙に伸びていることで,微絨毛を含めた反射信号とする研究者もいる.
          * ELMは視細胞とMüller細胞の接合部zonula adherensに相当する.網膜外層病変に於て,ELMに障害がないと IS-OS lineの再生がみられ,ELMが障害されていると IS-OS lineの回復がみられない.ELMがみられなくなることは視細胞とMüller細胞の接合部が障害されていることであり,ELMの描出は,視細胞そのものの機能を反映している可能性がある.
次の低反射層は視細胞内節に相当する.または,myoid zone.
ⓑ高反射:IS-OS line.視細胞の内節 IS と外節 OS の境界線junctionに相当する.組織での結合繊毛部とは一致しないらしく,内節外端のミトコンドリアが多く集積している部分(エリプソイド部)として ellipsoid zone と呼ぶことが提唱されている.ただし,接合部外節(結合部・接合面)では反射を生じるインピーダンスがミトコンドリアよりも大きいことで,従来のIS-OS lineは妥当とする研究者もいる.視細胞の健常性を示すといわれ,外節の消失・再生がみられる病態からすれば,高反射を示す細胞膜の存在は理にかなっている.
次の低反射層は視細胞外節に相当する.中心窩部は錐体視細胞の形状の特徴として,わずかな膨らみ(foveal bulge;前方隆起)がある.
ⓒ高反射:COST line.錐体外節の終末端(COST;cone outer segment tip)で色素上皮細胞の長い絨毛が錐体先端を受け止めるような構造(cone sheath)の部分(右組織図▼)と考えられている.中心窩(bulge部)では長い錐体外節のため,錐体-網膜色素上皮の篏合構造の描出は不鮮明である.
              Verhoeff膜と言われたことがあるが,今後 interdigitation zone と呼ばれる頻度が増えるようである.ただし,interdigitation とすると嵌合構造として色素上皮細胞部も含むことになり,視細胞外節病変ではCOSTの方が部位がより正しく表現されるという.
ⓓ高反射:網膜色素上皮層.通常は一本の高反射ラインになるが,解像を上げると高反射-低反射-高反射の集合体(網膜色素上皮-ブルッフ膜複合体 complex)として観察できる.疑似カラー画像では一般に,橙色ラインとその下の緑色ラインの境界部分が,Bruch膜にほぼ一致するようである.これは色素上皮剝離の際に一本の高反射線として描出される.
ⓔこれより下の脈絡膜部分は詳細不明(機種に依存する)であったが,現行のFD-OCTでは無理なく描出されるようになった.
 
 
 ⑸.segmentation (層構造・層別表示
⑸.segmentation (層構造・層別表示
そんな訳で,初期モデルで「色素上皮層(と脈絡毛細血管板)」と考えられていた高反射層は,「視細胞層」と「網膜色素上皮層」を示していたことになる.これにより,古くて新しいテーマである網膜厚は,機種ごとに位置を確認したうえで計測数値を評価する必要がある.そうすると,右図の青矢印の interdigitation zone/COST線 が描出される場合に限り,②が最も妥当なセグメンテーションということになる.
✓現在では解像度が上がり,網膜では10層のほか,脈絡膜もオートセグメンテーションが可能になっている.
✓レジストレーションregistrationも,基本的な画像処理用語であり,「異なる画像間の重ね合わせ」という意味になる.
✓緑内障ソフトウェア
⑹.乳頭周囲網膜神経線維層厚 cpRNFL;circumpapillary
      【 ☞ 神経線維層厚 】
   神経軸索の変化を反映.
⑺.網膜神経節細胞複合体(GCC;Ganglion Cell Complex) や
   
網膜神経節細胞ⲻ内網状層(GCIPL;Ganglion Cell-Inner Plexiform Layer)
   (黄斑部)網膜神経節細胞の細胞体の障害を評価.
  
アーチファクト(artifact,artefact) ☞ 参照画
①アーチファクトとは,有るものが写らないとか無いものが写る,というような所見を指す.主な原因は,
   ・ブロック(音響陰影 acoustic shadow,ブロックは蛍光造影写真にも使う)
   ・過剰透過(散乱・吸収が少ない部位では信号光の減衰が少なく,深部…眼底では特に脈絡膜が強く描出)
   ・入射角度(検出器に届く後方散乱信号の非対称)
 等.
 
 その他で画像に影響するのは,
   ・眼球運動や瞬目
   ・深さ設定のミス
   ・目標(スキャン位置)のズレ
   ・ミラーイメージ・鏡面像の写り込み
 等
②動きのあるものの信号は,周囲との位置関係がくずれる.具体的には,網膜血管は解剖学的位置を描出しない.
    
TD方式では特に目立つ現象であったが,FD方式になり画像が変化した.スキャン時間の高速化の所為だろうか.
③逆に,経時的に変化しうるのは血流のみと言える.微小(⊿T)時間経過後の変化成分(差分)を抽出・構成した画像が血管像となる (OCTA).いや,動きのない部分を消去すると血流部が残る,と言うほうがいいかな.
④画像以外の領域で用いる意味も調べてみて下さい.
enhance depth imaging(EDI mode)
OCTの像は画面の上方が詳細な性質をもつ.また,装置を眼に近づけると像が鏡面像・ミラーイメージとして翻転することが知られていた. Spaide らはこれを利用して,網膜よりも後方にある脈絡膜を明瞭に描出する方法を発見し,その手技をenhanced depth imaging OCTと命名した(図・inverseモード). 正常眼であっても脈絡膜厚は年齢とともに減少すること,また高度近視眼では網膜厚が減少するとともに脈絡膜厚も減少すること,肥厚脈絡膜を基とする一連の疾患群があるなど,様々な疾患で脈絡膜厚が相関することが報告され,網膜厚のほかに疾患の進行や治療経過などを判断するためのパラメータとなりつつある.
 
   en face imaging (正面像
レジストレーションにより三次元OCT画像から疑似眼底写真(projection image)を作成する.
 
・en face ‑ total intensity:輝度画像
・1 ⃣ Near RNFL:網膜表層
・2 ⃣ Near OPL:網膜深層
・3 ⃣ Near RPE:網膜外層
・4 ⃣ in Choroid:脈絡膜
原理的には,硝子体〜脈絡膜まで深さの異なる層の輝度情報を重ねた(レジストレーション)一枚画ということであるが,各層をそれぞれ認識させ(セグメンテーション),更に曲面(曲率)に応じた平坦化処理により,層別表示をしている.
     血管の走行を目印にして,他の眼底カメラ系データの画像と重ね合わることにより所見が照合可能となる.
OCTⲻangiography (OCTA
血流により赤血球などの散乱粒子が移動すると,ドップラ効果により光の周波数が変化する.ドップラシフトを利用して,動きのある組織とない組織を区別できる.
     OCTAは,複数枚の B-scan画像から差分信号(シグナル強度の変化量)により動きのある部位(白)と静止している部位(黒)を判別し,血流情報として三次元画像を構築・画像化している.B-scan画像は深度情報を含むことから,マニュアルで組織厚を変えて網膜~脈絡膜層を分割化(segmentation)して観察することが可能である.
      【 ☞ 
画像例 ⑵ 】
 
一般的な層別表示は,網膜表層・網膜深層・網膜外層・脈絡毛細血管板である.確認したいレベルでのen face像により,網膜血管や脈絡膜毛細血管・脈絡膜血管の状態のほか,脈絡膜新生血管や血管瘤なども描出され,蛍光眼底造影を行えない患者でも血管像を詳細に観察することが可能となる.ただし,血行停止(形態変化)は検出可能であるが,造影剤による充盈遅延・血管外漏出・貯留蛍光などの(経時変化としての)病理については検出不可能である.逆に言えば,透過性亢進の強い病態での血管像の研究では,漏出造影剤にマスクされない血管描出が期待できる.
     連続した三次元血管像のデータ量が必要であるため撮影時間は長くなる.また1回の撮影範囲が狭くなる.
広域画像
はモンタージュ手法による.
     より前方の高輝度反射層に対してスクリーンのように(網膜血管→色素上皮や脈絡毛細血管板に,脈絡膜→強膜に)散乱光が偽の血流信号として投影(projection)され画像化されることがある.血管があるかのように描出される projection artifact である.
     出血・白斑・浮腫・剝離・増殖膜など,網膜形状が複雑・不整であると segmentation errorを生じる.
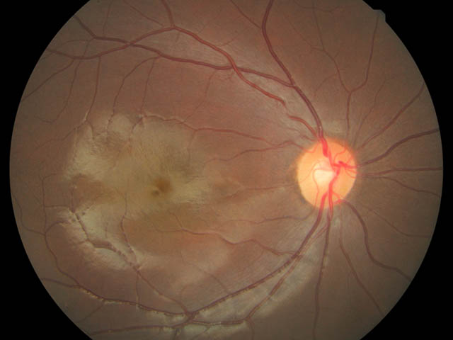
中心性漿液性脈絡網膜症
 
      
単純明快に納得のいく画像所見が,本症だろう.
かつての教科書には模式図として描かれていた病理変化が,実体で表現できるようになった.
黄斑円孔
 
     
硝子体手術の発達の中で,発症病理の解釈が進んだ疾患のひとつである.非侵襲的に,明瞭に記録できる.
外境界膜から視細胞外節部の描出によって,術後視力が予測される.
加齢黄斑変性
 
     
蛍光眼底造影所見などによって,およその病態の解釈は得られていた.
OCT画像ではかなり多様性があるようで,パターン化するのに苦労する.‥‥見なけりゃ良かった ?
加齢黄斑変性-2
 
      
<こめんと>
卵黄状黄斑ジストロフィ
     (画像は炒り卵期 scramble-egg stage と思われる → 眼底写真にカーソルを重ねると偽蓄膿状態が出ます)
     splitしているのは網膜色素上皮層のようであるが,色素上皮剝離とはチョッと違う.これでも(1.2)!
なお,近年のデータでは,網膜下の貯留や空間が網膜剝離状態として描出されるようである.
 
網膜静脈閉塞症
< BRVOと黄斑浮腫 >
網膜静脈閉塞症-2
 
     
RVOは高率に黄斑浮腫を合併する.また,BRVOでも意外なほど浮腫が強く,蛍光眼底造影写真の色素漏出との相関に妙に納得したものだ.治療に抵抗するのも一目瞭然であるし,所見の変化に一喜一憂することになる.
網膜色素変性症
 
      
IS/OSⲻlineは中心窩のおよそ3mmの範囲①で保たれているが,その周辺では外顆粒層も認められず,外網状層に相当する高反射層②が色素上皮細胞層に接している.また画像の両端では脈絡膜が高反射に描出されている.Vs=(1.2)
 
黄斑ジストロフィ
 
      
あるべきものが‘ない’.結果,脈絡膜レベルが高反射に記録される.
……何が写ってなさそうか,判ります ? 次もそうです.
先天トキソプラズマ症の疑い
 
      
<こめんと>
脈絡膜色素母斑


造影写真 では
黄斑低形成
 
     
中心小窩は痕跡程度のようである.輪状反射はどこへ ? 陥凹はどうした !
黄斑囊胞様変性(黄斑分離症)
 
     
中心窩囊胞がそびえ立つ.では,すきまができている部位は ?
硝子体囊胞
|  |  | 
【ドルーゼン】
【網膜色素上皮剝離】
【網膜動脈分枝閉塞】
もう少し提示すべき典型所見のいくつかは,いずれ追加する(かも知れない).
  また,本来の解析用ソフトウエアは多様に用意されている.しかし今日は,ここまで.
撮影速度,感度,分解能,網膜色素上皮下の所見などに限界がある.言い換えると,描出に不満がある.今後,
高分解能,高速,三次元,高深達,ドップラーなどが進化の方向のようである.
血管網の画像化や偏光感受型OCTの実用化が近い(2016年 追加
参 考
 日本視能訓練士協会誌 第39巻 2010年:OCTの見方
 日本視能訓練士協会誌 第39巻 2010年:OCTの見方
こちらから https://www.jstage.jst.go.jp/article/jorthoptic/39/0/39_039K001/_pdf
2025