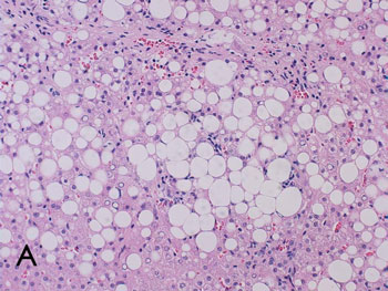
NASH典型例の組織像 
大滴性の脂肪化と小葉内の
単核球浸潤がみられる。

(H-E ×50)

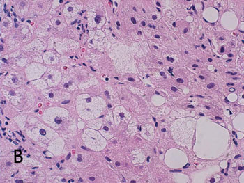
肝細胞が泡沫状に腫大した
ballooningがみられる。

(H-E ×100)

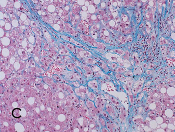
小葉中心部にpericellular fibrosis
がみられる。

(M-T ×50)