網膜の病態 |
part Ⅲ 変 性・腫 瘍・中 毒 |
変性 degeneration とは形態的・機能的に低いレベルに変化することである.
疾患名(臨床的な病名・描写名称)は,古典的・伝統的に言い慣わされているものの多くが病理学的にいう病因と必ずしも一致しなかったりする.その代表格が「変性」かもしれない.ここでは平均的な病名によって解釈を試みる.
黄斑変性
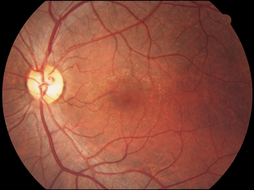
加齢黄斑変性 age related macular degeneration;AMD 【 → チョッと 詳しく 】 【 写真で確認 】
病 態:
免疫反応・炎症反応を調節する補体経路が正常に作動せず,血管炎が持続して発症する.一般に老化現象とされる.
Bruch膜への代謝産物の蓄積drusenを基として,脈絡毛細血管・網膜色素上皮の変性・萎縮,新生血管増殖により,黄斑の構造・機能を障害する.
症 状:
網膜色素上皮下の増殖病変では,変視症が前面にある.
脈絡膜新生血管が色素上皮を越えて網膜下に進行すると,中心暗点など視力障害が強くなる.
分 類:
①萎縮型「dry type」;脈絡膜・網膜色素上皮の変性萎縮の場合.
②滲出型「wet type または exudative type」;血管新生が主体の場合を指す.
加齢黄斑変性では通常,後者が問題となる.当然,出血・浮腫を伴う.
新生血管の発見・同定には蛍光眼底造影(FA・IA)検査・OCT-A検査に依る.
遺伝性黄斑変性,あるいは黄斑ジストロフィ 【 → チョッと 詳しく 】
病 態:
遺伝的素因(よーするに,遺伝子異常)で,網膜視細胞・網膜色素上皮細胞・脈絡膜に原発し拡大する.
基本的に,ⓐ両眼性であること,ⓑ家族発生つまり遺伝性が認められること,ⓒ検眼鏡所見や視機能障害が進行性であること,ⓓ外因がない,などで dystrophy ジストロフィという.
症 状:
視力低下・色覚異常・中心視野欠損など,主に錐体優位の視力障害.
分 類:
| 初発あるいは主要病変部位 | 臨床例 | |
|---|---|---|
| 脈絡膜(毛細血管板 | 中心性輪紋状脈絡膜萎縮(輪状脈絡膜ジストロフィ | |
| Bruch膜 | 変性近視 網膜色素線条⁄梨子地眼底 | |
| 網膜色素上皮層 | 卵黄様黄斑変性 パターンジストロフィ,家族性ドルーゼン | |
| 網膜色素上皮層 と 視細胞層 | Stargardt病ⲻ黄色斑眼底群 錐体(ⲻ杆体)ジストロフィ,杆体(ⲻ錐体)ジストロフィ | |
| 神経線維層 (網膜神経上皮と硝子体 | Xⲻlinked juvenile retinoschisis (先天網膜分離 | |
従って:
発症年代で表現すれば „若年性黄斑変性“,網膜脈絡膜ジストロフィの範疇で病態を解釈する手法で表現すると „網膜色素変性と類縁疾患“,といったカテゴリーになる(次項).
▒ 病態的にみると,ここに a・b のように併記するのは不適当である.黄斑変性の『若年性』『加齢性』との対比分類はよろしくない.
網膜色素変性 pigmentary degeneration 【 → チョッと 詳しく 】 【 写真で確認 】
病 態:
視細胞(主に杆体すなわちロドプシン蛋白)の代謝障害・消耗や,信号伝達物質の異常で,視細胞が徐々に消失していく疾患である.視野検査,網膜電位図検査,暗順応検査などで確定する.
常染色体劣性,あるいは常染色体優性遺伝を示す.
症 状:
夜盲の自覚から始まり視野障害が進行する.末期で中心視力低下.
夜盲は進行性,視野障害は輪状暗点,のち求心性狭窄.
網膜電図所見は,平坦化(unrecordable).
分 類:
杆体機能障害が錐体機能障害に先行することから,杆体‐錐体ジストロフィである.
治 療:
現時点では,ない.
病 態:
剝離とは,感覚網膜(内側の9層)が網膜色素上皮層から分離した状態.通常,剝離といえば裂孔原性網膜剝離のことをいう.
症 状:
前駆症状としては飛蚊症や光視症が重要.狭い範囲の小さい剝離では無自覚・無症状であるが,拡大・進行すると視野障害を生じ,黄斑部に及ぶと視力が低下する.
分 類:
① 裂孔原性網膜剝離 rhegmatogenous detachment,あるいは原発性 primary(またはidiopathic 特発性)網膜剝離
感覚網膜に生じた裂孔 retinal breakから硝子体液が浸入し,色素上皮とのあいだ(網膜下腔 subretinal space)に貯留したもの.
② 非裂孔原性網膜剝離 nonⲻrhegmatogenous detachment,あるいは続発性網膜剝離 secondary detachment
滲出性網膜剝離と牽引性網膜剝離とがある.前者は血液網膜関門の破綻による浮腫で発症,後者は増殖組織が網膜を牽引・挙上することで発症する.続発とは,剝離を起こす原疾患の存在を意味する.原疾患の病態の本体であったり,合併症としての一面であったりする.
治 療:
裂孔によるものは閉鎖復位手術
網膜周辺部変性 peripheral degenerations 【 → チョッと 詳しく 】
病 態:
周辺網膜では神経要素が消え,Müller細胞が姿を変え鋸状縁を作り毛様体扁平部・無色素上皮へ移行する.9層構造が不完全な部分ができ,硝子体膜との異常癒着や脈絡膜の萎縮をきたしやすい.赤道部での網膜硝子体変性は網膜剝離発症の危険因子である.
症 状:
分 類:
治 療:
強度近視 high myopia 【 → チョッと 詳しく 】
病 態:
強度近視とは,眼球としての本来の球状形態が大きく歪む病態である.通常の軸性近視では主に赤道部が伸展し後極への影響は少ないとされているが,眼軸延長によって生じる後極部病変が近視性眼底変化である.初期にはいわゆる “豹紋状眼底”として観察され,強膜の伸展(後部ぶどう腫 staphyloma)によって脈絡膜・網膜(脳層の特に外層)の菲薄化がおきる.近視性網脈絡膜萎縮である.Bruch膜の損傷が進行すると新生血管発生の頻度が増す.
強度近視のうち,視覚障害をきたすような状態を特に 病的近視 pathologic myopiaといっている(厚生省研究班1987).
| 年 齢 | 屈折度 | 矯正視力 |
|---|---|---|
| 5 歳以下 | -4.0D を越える | 0.4 以下 |
| 6 ⁓ 8 歳 | -6.0D を越える | 0.6 以下 |
| 9 歳以上 | -8.0D を超える | 0.6 以下 |
治 療:
合併症による.
色素上皮〜網膜外層病変
網膜色素上皮剝離;pigment epithelial detachment;PED 【 → チョッと 詳しく 】
病 態:
網膜色素上皮細胞がBruch膜から剝離した状態をいう.基本的に加齢変化.
分 類:
①漿液剝離型:CSCに伴うような通常型.
②ドルーゼン型:ドルーゼンが径350µm以上の場合 drusenoid PEDsという.
③出血剝離型:血液の貯留
④線維血管型:新生血管の侵入
網膜外層萎縮outer retinal atrophy;OCT像でellipsoid zone・interdigitation zoneが消失する.RPE萎縮では脈絡膜の描出が過剰となる.
病 態:
遷延する下液貯留,ドルーゼンによる影響,など.
いわゆる outer retinopathy 網膜外層症,
あるいは pigmentepitheliopathy 網膜色素上皮症,あるいは white dot syndrome.
occult macular dystrophy;OMD;三宅病 ☞ ジストロフィ へ
acute posterior multifocal placoid pigment epitheliopathy;APMPPE;急性後部多発性斑状色素上皮症
AZOOR ⲻ complex
acute retinal pigment epithelitis;急性網膜色素上皮炎
などが網膜外層症〜脈絡膜内層症のカテゴリーと考えられている. ☞ ぶどう膜炎 „補足“ の項 へ
悪性腫瘍随伴性視覚症候群 visual paraneoplastic syndrome (傍腫瘍性神経症候群 ∕ 腫瘍関連症候群
*腫瘍随伴性網膜症 paraneoplastic retinopathy
病 態:
腫瘍細胞と網膜組織との間の生じた共通抗原に対する自己免疫機序に因り,神経系・眼部への転移や浸潤によらず(remote effect)進行性の網膜変性をきたす.網膜症の発見が原発巣のそれに先行することが多い,といわれる.傍腫瘍性光受容体変性症.本邦では少ないようである.
症 状:
後天性の夜盲,羞明(光線過敏),光視症(閃輝暗点類似),視野障害 ― 輪状暗点(CARで)〜感度低下(MARでは中心暗点),網膜動脈の狭細化,視力低下,色覚障害,異常ERG(CARでは a波 b波とも減弱.MARでは b波の減弱=陰性b,特に完全型定在夜盲に類似波形).
網膜色素変性症に類似するが進行が速い.色素沈着は少ない.軽度のぶどう膜炎〜網膜血管炎所見にも注意.
分 類:
①CAR;cancer associated retinopathy(CAR).
上皮由来の悪性腫瘍(いわゆる癌腫=肺がん,胃がん,子宮がん,そのた)に随伴
②MAR;maligmant melanoma associated retinopathy.
悪性黒色腫に随伴,男性に多い.
標的と関連自己抗体:
①CAR
網膜視細胞=抗リカバリン抗体,抗エノラーゼ抗体,抗HSP70抗体.これらによる光受容・順応機構・伝達機構の破壊,視細胞の脆弱化・消失.
②MAR
網膜双極細胞=抗網膜双極細胞(TRPM1陽イオンチャンネル)抗体.ON型経路伝達の障害(ほとんど不可逆性).TRPM (transient receptor potential cation channel, subfamily M, member 1) はメラノーマとも関連(melastatinⲻ1
その他,抗トランスデューシンβ抗体,抗ロドプシン抗体,抗アレスチン抗体
*腫瘍随伴性神経症 paraneoplastic neuropathy ☞ 視神経炎 の項 へ
自己免疫網膜症 autoimmune retinopathy;AIR
血清中の抗網膜抗体が原因で網膜変性を引き起こす症候群
重度の視力障害
斑紋眼底 / 斑状網膜 ☞ ジストロフィ の項 へ
ミトコンドリア網膜症 mitochondrial retinopathy ☞ 色素変性 の項 へ
網膜色素上皮を傷害し,微絨毛の消失,メラニン顆粒の枯渇をきたし,いわゆる salt and pepper型の所見となる.光化学反応の酸化ストレスが蓄積することで,後極から進行する.
其の他
網膜皺襞 ∕ 脈絡膜皺襞
眼窩腫瘍,低眼圧.まれに特発性で
網膜分離症
(ここでの症例は加齢変性.通常は 先天分離 のほうが重要
網膜内層病変
acute duffuse occult inner retinopathy
網膜表層病変
white dot fovea 中心窩白色顆粒症:
円形に配列していると,特発性黄斑円孔の前駆所見に似て鑑別に苦労しそう.
OCTでは,中心窩表面に顆粒状高反射所見が描出されるとのことである.
もうひとつの 網膜表層病変
Alport症候群:
遺伝子変異によりIV型コラーゲンの構造的異常・減少~消失をきたす,先天疾患である.眼底では内境界膜と網膜色素上皮基底膜に病変が生じる.斑状所見である.さらに黄斑耳側網膜の菲薄化がみられる.両眼性で菲薄所見をきたす病態は,ほかに知られていないそうである.
他の眼所見では
円錐水晶体や白内障
が重要となる.
全身的には腎障害,聴力障害を合併する.
黄斑円孔
硝子体病変 として解釈する.
▒ 眼科領域の二大腫瘍は,“網膜芽細胞腫” と 脈絡膜“悪性黒色腫”である.
そのほか,転移性腫瘍,血管腫,母斑,・・・・・
網膜芽細胞腫 retinoblastoma 【 → チョッと 詳しく 】
病 態:
未分化で未熟な胎生期の網膜細胞を基とする,胎児性腫瘍.小児の眼内腫瘍で最も頻度が高い.
症 状:
白色瞳孔,外斜視
分 類:
伸展方向では,眼内に広がる内長型と眼外に広がる外長型がある.
腫瘍細胞は,未分化型から分化型までのスペクトラムがある.
治 療:
色素細胞腫 melanocytoma ☞ 色素 ⑴ あるいは 色素 ⑵,⑶ あるいは 色素 ⑷
病 態:
⑴ ぶどう膜メラニン細胞の過誤腫(色素母斑).基本的に無害.
⑵ 網膜色素上皮細胞の異所性増殖.
⑶ 網膜色素上皮肥大 congenital hypertrophy:網膜は正常構造にならない.
⑷ 乳頭部の色素細胞.
症 状:
星細胞腫 / 星状膠細胞腫 astrocytoma
病 態:
線維性星状細胞の良性増殖病変.網膜内層表面や視神経乳頭にみられる神経外胚葉性の過誤腫.経過中,石灰化が進み閃輝性の桑の実状外観となる.
症 状:
通常,無症候.乳頭部では,拡大傾向にあると神経線維や血管を圧迫して視覚障害が進行する.
分 類:
視神経乳頭ではドルーゼン(視神経膠腫),網膜面では神経膠腫.
結節性硬化症での合併 → 次 項
母斑症 / 神経皮膚症候群 ☞ 母斑症
◈ von HippelⲻLindau 病:流入・流出血管のある網膜血管腫として
◈ SturgeⲻWeber 症候群:脈絡膜血管腫として
◈ 神経線維腫症 ∕ 結節性硬化症:星状細胞腫(神経膠腫)として
網膜の血管腫 ☞ 血管病変
母斑症での病型のほか,内皮細胞の異常など
白血病 ☞ 全身疾患と眼
白血病網膜症:Roth斑,その他の白血病細胞の浸潤,出血,硝子体混濁,
網膜硝子体リンパ腫 ☞ 脈絡膜腫瘍
網膜下の浸潤や硝子体混濁をきたす.ほとんどが,B細胞由来の大細胞型異型リンパ球とのことである.
転移性腫瘍 ☞ 転移性腫瘍
腫瘍細胞の血行転移は,網膜よりも脈絡膜に引っかかる.
眼内腫瘍として原発巣は,乳がん54%,肺がん23%,不明巣9%,消化器8%,皮膚(黒色腫)4%,・・・・・
▶► 眼窩腫瘍としては,乳がん51%,前立腺がん17%,不明17%,とのことである.肺がんの率(6%)が下がる.
▒ 中毒性視覚障害は,両眼性でほぼ同時進行を特徴とする. ☞ 全身疾患と眼
網膜障害
網膜色素上皮障害
・クロロキン
メラニン含有組織へのダメージ;傍中心暗点で初発し,色覚異常,輪状暗点~中心視力障害,夜盲,へ進行する網膜症.
不可逆性に bull's eye を呈する (続発性黄斑変性).
初期変化の検出には,OCTとFAFが推奨されている.OCTでは視細胞外節の消失がみられる.
多局所ERGでは当該部位での振幅低下がみられる.
☞ 症 例
・チオリダジン
脈絡膜~色素上皮への線状・点状の色素沈着.霧視,色覚異常,夜盲,などをきたす網膜症.初期は可逆性とされる.
・トルエン
視神経障害のほか色素上皮~視細胞障害.いわゆるシンナー中毒
・副腎皮質ステロイド薬
中心性漿液性脈絡網膜症の誘発(脈絡膜透過性亢進 ⇒ 色素上皮損傷.
視細胞層障害
・ジギタリス
羞明,黄視,視力低下,など
視細胞機能阻害ということで可逆性とみられる.
・トリメサジオン
錐体障害による羞明・色覚障害
神経網膜障害
・タモキシフェン
視細胞損傷,網膜内層へのクリスタリン状の沈着による網膜症.可逆性とみられる.
・ポリコナゾール
ON型双極細胞のシナプス伝達障害.可逆性.ERGでは完全型先天定在性夜盲やMARに類似.
・キニーネ
神経節細胞障害
網膜血管内皮障害
・インターフェロン
軟性白斑や出血斑など,糖尿病網膜症そっくり.
・経口避妊薬
網膜血管閉塞病変(RAO,RVO,共に)
・分子標的薬
静脈閉塞その他による網膜出血,黄斑浮腫,漿液性網膜剝離,ぶどう膜炎
視神経障害(視神経症)
中枢性(皮質性)障害
重篤副作用疾患別対応マニュアル(厚生労働省 2019年)〜 網膜・視路障害
とりあえず ぶどう膜 のところで
網膜 → 硝子体病変は こちら
と,いうことで,視神経病変 へ.